
Ketahui Cara Mencegah Penyakit Infeksi Seksual Menular pada Manusia
Sifilis atau yang disebut penyakit raja singa merupakan infeksi menular seksual (IMS) yang disebabkan oleh bakteri Treponema pallidum yang menyebabkan kelainan pada kulit dan dapat

Sifilis atau yang disebut penyakit raja singa merupakan infeksi menular seksual (IMS) yang disebabkan oleh bakteri Treponema pallidum yang menyebabkan kelainan pada kulit dan dapat

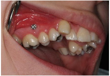
Hasil Riset Kesehatan Dasar (RISKESDAS) 2018 menunjukkan prevalensi masalah kesehatan gigi dan mulut penduduk di Indonesia sebesar 57,6 persen, penduduk yang menerima perawatan dan pengobatan

Partisipasi dalam anggaran tidak hanya menimbulkan efek positif tapi juga memacu perilaku negatif penciptaan budgetary slack pada karyawan. Asimetri informasi dinilai sebagai salah satu pemicu

Dahulu masalah ketidakharmonisan gigi dan wajah diperlukan tidakan pembedahan. Namun sejak ditemukan minicrew di dalam perkembangan ilmu kedokteran gigi khususnya di bidang ortodonsia, maka tidak

Tulisan ini akan menguji pengaruh faktor–faktor karakteristik desa, gaya kepemimpinan, legitimasi politik, akses informasi, dan motivasi kepala desa terhadap partisipasi masyarakat dalam penganggaran di desa

Osteoblas adalah sel multifungsi yang mengontrol metabolisme tulang dan respon imun dengan memproduksi berbagai jenis protein matriks tulang. Ekspresi penanda diferensiasi seperti kolagen tipe I,

Inovasi adalah sebuah proses kreatif yang membutuhkan sebuah penemuan baru dan dikembangkan menjadi sebuah produk atau jasa yang bernilai ekonomis dari suatu barang atau jasa

Pengembangan saham islam harus didukung oleh penggunaan indeks pengungkapan tanggung jawab sosial (ISR) yang telah berstandar pelaporan berbasis AAOFI sesuai prinsip syariah. Dengan menerapkan ISR,

Electrospinning adalah metode yang paling efektif untuk memfabrikasi serat nano. Electrospinning telah banyak dimanfaatkan pada bidang medis sebagai metode pembuatan scaffold rekayasa jaringan, wound dressing

Setiap manusia memiliki hak atas standar hidup yang layak, tidak terkecuali bagi seorang anak. Konvensi Perserikatan Bangsa-Bangsa tentang Hak-hak Anak menegaskan bahwa setiap anak memiliki

Data WHO pada tahun 2015 menunjukkan bahwa penyakit pernafasan mendominasi 10 penyakit penyebab kematian tertinggi di dunia. Salah satunya adalah Tuberkulosis (TBC). Indonesia menduduki posisi

Ketika mendengar tentang kesehatan masyarakat tentunya gambaran yang kita miliki adalah suatu bidang yang fokus pada upaya meningkatkan kesehatan dalam komunitas masyarakat. Namun bidang kesehatan