Skorbut adalah gangguan karena defisiensi vitamin C yang jarang ditemukan pada anak. Skorbut memiliki gejala awal tidak khas seperti demam ringan, penurunan nafsu makan, iritabilitas yang diikuti oleh kelainan kulit dan muskuloskeletal. Kelainan kulit pada skorbut meliputi hiperkeratosis folikuler, rambut berbentuk ulir, perdarahan kulit dan selaput lendir. Kelainan muskuloskeletal pada skorbut, seperti nyeri dan pembengkakan sendi, dan pseudoparalisis lebih menonjol daripada kelainan kulit. Uji baku emas untuk mengkonfirmasi skorbut adalah pemeriksaan kadar asam askorbat. Namun, pemeriksaan ini tidak selalu tersedia, sehingga diagnosis skorbut dapat ditegakkan secara klinis, laboratoris, radiologis atau ex-juvantibus.
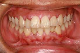
Telah dilaporkan kasus skorbut pediatrik yang didiagnosis berdasarkan pemeriksaan klinis, laboratoris, radiologis dan respon yang sangat baik setelah suplementasi vitamin C. Seorang anak laki-laki berusia 3 tahun datang dengan keluhan nyeri dan bengkak pada lutut dan kaki serta pseudoparalisis selama 2 bulan, perdarahan titik (petekie) perifolikuler palpabel dan rambut berbentuk ulir selama 11 hari, dan petekie pada kaki serta gusi bengkak dan mudah berdarah selama 3 hari. Pasien tidak mengkonsumsi buah dan sayur. Pemeriksaan laboratorium menunjukkan anemia, peningkatan laju endap darah, penurunan kadar besi dan hematuria. Foto polos lutut menunjukkan osteopenia dan efusi sendi. Pasien awalnya didiagnosis sebagai vaskulitis kutaneus. Keluhan menetap meskipun diterapi dengan ibuprofen dan prednison, tetapi membaik segera setelah suplementasi vitamin C. Pemeriksaan histopatologi lesi kulit tidak menunjukan vaskulitis. Pasien kemudian didiagnosis sebagai skorbut. Keluhan menghilang seiring dengan lanjutan suplementasi vitamin C, dan tidak kambuh kembali.
Gejala muskuloskeletal yang menonjol dan lesi kulit mirip vaskulitis sering menyebabkan misdiagnosis dari skorbut pediatrik. Hiperkeratosis folikuler, rambut berbentuk ulir, edema gusi dan riwayat diet menjadi petunjuk dari skorbut. Diagnosis skorbut dapat ditegakkan melalui pemeriksaan klinis dan penunjang, atau secara ex-juvantibus, apabila pengukuran kadar asam askorbat tidak tersedia.
Penulis: Dr. Afif Nurul Hidayati dr.,Sp.KK(K), FINS-DV, FAADV
Informasi lebih lengkap dari riset ini dapat dilihat pada tulisan kami di: http://jpad.com.pk/index.php/jpad/article/view/1989/1801
Clinical, laboratory, radiologic and ex juvantibus diagnosis of pediatric scurvy: A case report
Sawitri , AN Hidayati, L Bintanjoyo , PI Gunawan, R Noviandi, Y Widia, I Citrashanty, I Zulkarnain





