Gigi merupakan salah satu bagian tubuh yang peranannya sangat penting dalam aktivitas hidup manusia, seperti makan dan berbicara. Tidak hanya itu, keberadaan geligi juga mendukung estetika seseorang. Selama hidup, manusia memiliki dua jenis geligi, yaitu geligi susu atau sulung dan geligi permanen. Gigi susu mulai tumbuh pada usia 6 sampai 12 bulan dan kelak akan digantikan oleh gigi permanen seiring bertumbuhnya manusia hingga dia dewasa.
Secara normal, jumlah gigi permanen yang akan menggantikan gigi susu adalah 28 sampai 32 buah. Meski begitu, terdapat kondisi khusus dimana benih gigi permanen tidak terbentuk sehingga menyebabkan tidak adanya pengganti bagi gigi sulung. Kondisi tersebut disebut dengan agenisi. Agenisi dapat dibagi menjadi beberapa kategori, yaitu anodonsia (tidak adanya semua benih gigi permanen), oligodonsia (agenisi lebih dari 6 gigi), dan hipodonsia. Agenisi sendiri dapat menjadi pertanda adanya kelainan sistemik pada seseorang, seperti ectodermal dysplasia, atau tidak disertai kelaian (non syndromic).
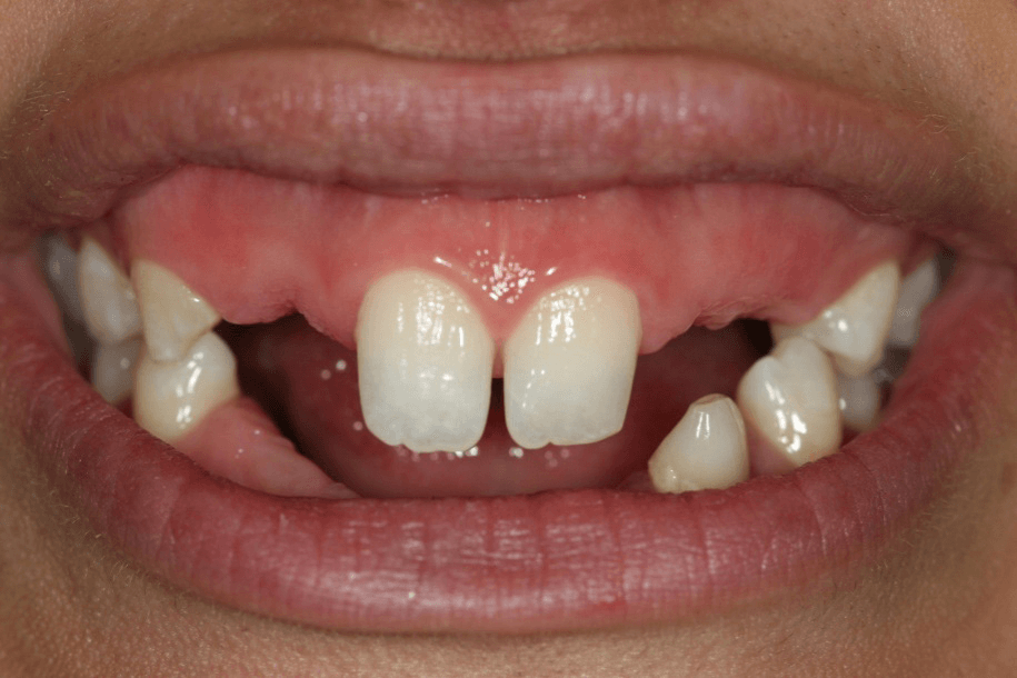
Salah satu contoh kasus oligodonsia tanpa disertai dengan kelainan adalah seperti pada pasien perempuan yang datang ke RSGM-P FKG Universitas Airlangga. Pasien tersebut datang dengan kondisi banyak geligi permanennya yang belum tumbuh walaupun usia pasien sudah melewati waktu bergantinya gigi. Hingga sekarang pasien masih dalam perawatan berkesinambungan di RSGM-P Universitas Airlangga.
Kasus oligodonsia merupakan kondisi yang membutuhkan perawatan jangka panjang dengan pendekatan multidisiplin. Kerja sama dari banyak pihak dan kontrol rutin untuk memantau perkembangan dan pertumbuhan pasien. Deteksi sejak dini pada kondisi seperti ini akan membuat rencana perawatan dan penanggulangannya lebih maksimal.
Penulis: Dian Lupita Sari, drg
Detail tulisan ini dapat dilihat di:
https://actamedicaphilippina.upm.edu.ph/index.php/acta/article/view/706/652
Sari DL, Pradopo S, Nelwan SC, Utomo H, Tedjosasongko U. Acta Medica Philippina. 2019. Suspected Non-Syndromic Oligodontia – a Report of a Rare Case with 13 Agenesis. Acta Medica Philippina Vol. 53 No. 6.





