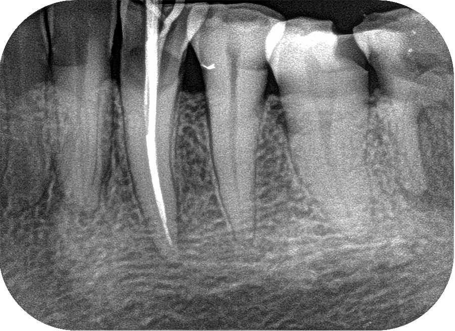
Segmentasi komponen gigi adalah tugas penting dalam desain bantuan komputer untuk odontologi forensik, terutama untuk memperkirakan usia kronologis. Segmentasi gigi pada data radiografi adalah tugas yang sangat menantang karena banyak hal yang mempengaruhi antara lain noise pada hasil radiografi, kontras yang rendah, dan pencahayaan yang tidak merata. Pengelompokan Fuzzy C-Means umumnya digunakan untuk segmentasi gambar yang memungkinkan piksel untuk diklasifikasikan ke dalam satu atau lebih kelompok sesuai dengan nilai value yang dipunyai.
Namun, metode pengelompokan ini masih memiliki masalah yang terkait dengan pergeseran pusat-pusat klaster dan sensitivitas terhadap distribusi intensitas yang tumpang tindih antar kelas. Dalam studi ini mengusulkan strategi modifikasi spasial bersyarat Fuzzy C-Means (csFCM) yang menggabungkan informasi global dan spasial ke dalam fungsi keanggotaan tertimbang dengan mengganti jarak Euclidean dengan jarak kernel Gaussian untuk meningkatkan ketidakpekaan terhadap noise dan outliers.
Tujuan dari studi ini adalah untuk membagi gigi menjadi 3 komponen, yaitu email, dentin, dan pulpa. Oleh karena itu, algoritma yang dimodifikasi ini didahului oleh pra-pemrosesan gambar X-ray gigi dan dilanjutkan dengan menggabungkan masing-masing kelompok komponen gigi menjadi satu gambar komposit. Gambar gigi di pra-proses menggunakan Contrast Limited Adequate Histogram Equalization (CLAHE) dan penyesuaian gamma untuk meningkatkan kualitas gambar sinar-X gigi dari pencahayaan yang tidak merata.
Tata ruang bersyarat berbasis kernel Gausian Fuzzy C-Means (GK-csFCM) membagi citra gigi menjadi empat kelompok kelas, yaitu enamel, dentin, pulpa, dan background. Melalui iterasi, pusat-pusat cluster yang dihasilkan lebih konvergen dengan pusat-pusat cluster nyata, sehingga memastikan metode yang diusulkan meningkatkan kelemahan dari metode berbasis FCM yang melekat dan lebih lanjut mempromosikan kinerja segmentasi gambar.
Hasil percobaan pada gambar rontgen gigi nyata menunjukkan bahwa GK-csFCM memiliki kinerja yang lebih baik daripada algoritma klaster FCM dan csFCM dalam hal metrik kualitatif dan kuantitatif, yaitu akurasi, spesifisitas, sensitivitas, dan presisi.
Penulis:
Dr. Eha Renwi Astuti, drg., M.Kes., Sp.RKG(K)
Informasi detail dari riset ini dapat dilihat pada tulisan kami di
http://www.inass.org/2019/2019063012.pdf
Fariza A, Arifin AZ, Astuti ER, Kurita T. Segmenting Tooth Components in Dental X-Ray Images Using Gaussian Kernel- Based Conditional Spatial Fuzzy C-Means Clustering Algorithm. International Journal of Intelligent Engineering and Systems 2019; 12(03): 108-117.





