Tuberkulosis (TB) merupakan salah satu masalah kesehatan utama di Indonesia. Sebuah studi yang dilakukan pada tahun 2014–2015 menunjukkan bahwa Indonesia memiliki sekitar satu juta kasus TB. Kasus TB pada tahun 2018, dilaporkan di Indonesia berkisar 845.000 kasus. Sementara itu, Tuberkulosis peritoneal (PTB) menyumbang sekitar 0,1–0,7% dari semua kasus TB yang mewakili 4–10% TB ekstraparu dan 25–60% TB perut. PTB dianggap sulit untuk didiagnosis karena gejalanya yang tidak spesifik dan mungkin tidak memiliki faktor risiko yang jelas untuk infeksi Mycobacterium tuberculosis (MTB). Selain itu, pengambilan sampel jaringan invasif untuk diagnosis diperlukan karena rendahnya sensitivitas tes diagnostik mikrobiologis untuk PTB.
Tuberkulosis peritoneal (PTB) dapat menyerupai kasus kanker ovarium stadium lanjut, membuat diagnosisnya menantang. Hasil penelitian sebelumnya menunjukkan bahwa biomarker karsinoma ovarium, Ca125, mengalami peningkatan pada pasien TB paru dan ekstraparu termasuk PTB. Penelitian lain menunjukkan bahwa kadar CA-125 serum meningkat sekitar 44% dari pasien dengan TB paru aktif. Penatalaksanaan dan luaran klinis antara PTB dan kanker ovarium stadium lanjut sangat berbeda. PTB diobati dengan obat anti tuberkulosis, dan dapat disembuhkan. Sebaliknya, kanker ovarium stadium lanjut harus diobati dengan operasi debulking diikuti dengan obat sitotoksik dan dengan hasil klinis yang lebih buruk. Oleh karena itu, diperlukan pemeriksaan yang komprehensif dan teliti untuk membedakan kasus tersebut guna memberikan penanganan yang tepat.
Berdasarkan dari gambaran di atas, peneliti berhasil mempublikasikan hasil penelitiannya di salah satu jurnal Internasional terkemuka, yaitu Bali Medical Journal. Peneliti menganalisis kasus dan mendiagnosis PTB yang bermasalah dan menyerupai keganasan ovarium. TB ekstrapulmoner terkadang menyebabkan kesalahan diagnosis onkologi ginekologi seperti karsinoma ovarium lanjut. Terutama karena gejala perut atau panggul yang tidak spesifik seperti massa, asites, yang dapat menyerupai kasus kanker ovarium stadium lanjut.
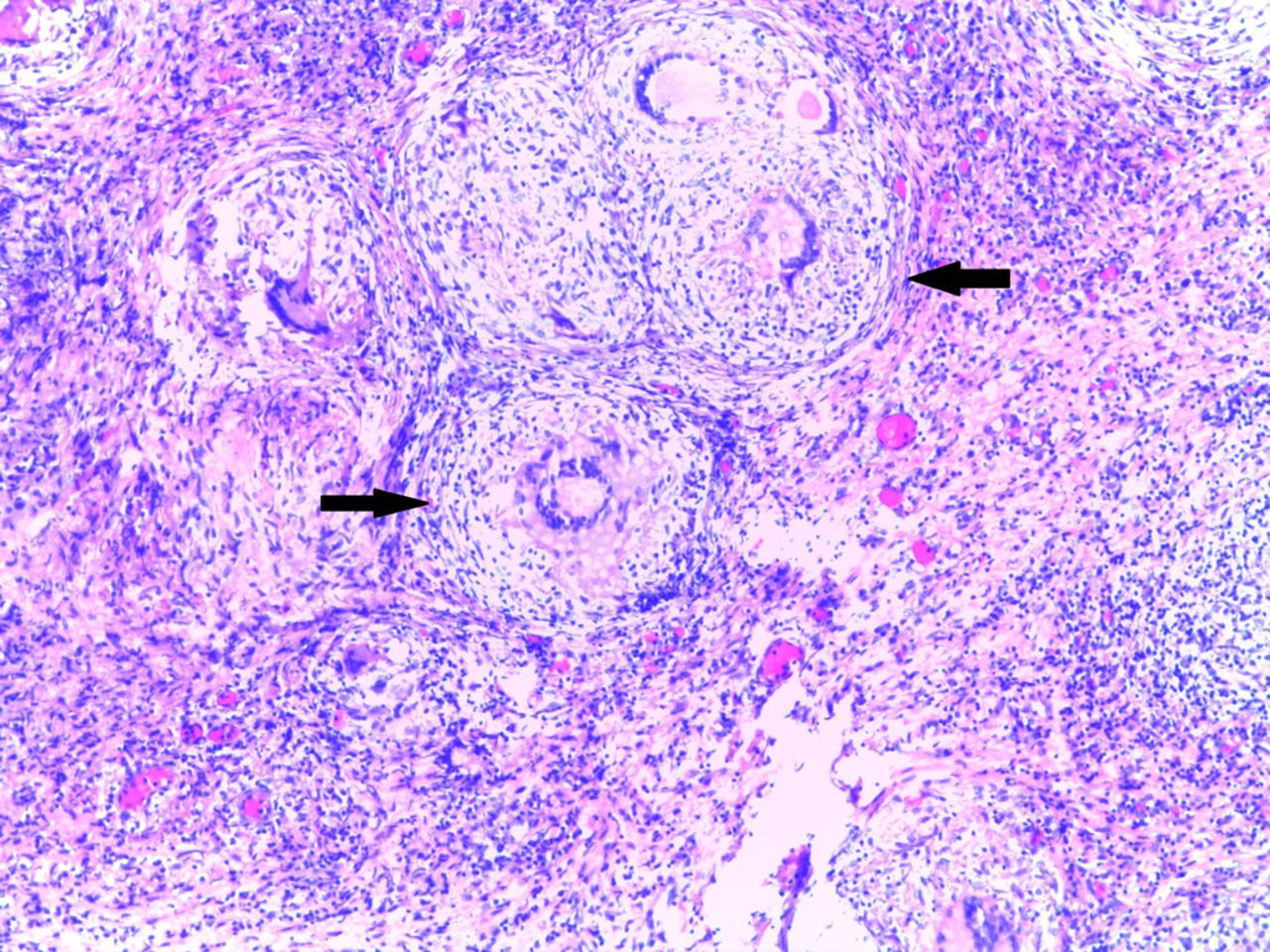
Hasil evaluasi kasus yaitu PTB pada seorang wanita berusia 20 tahun dengan riwayat rawat inap berulang kali di rumah sakit dengan kecurigaan tingkat Ca125 tinggi kista ovarium ganas. USG menunjukkan massa di rongga panggul. Laparotomi eksplorasi harus dilakukan dan biopsi mendukung diagnosis PTB yang dikonfirmasi dengan basil tahan asam dan hasil patologi.
Berbagai pemeriksaan penunjang diperlukan untuk menegakkan diagnosis yang tepat dan menyingkirkan diagnosis banding. USG dapat digunakan untuk mendeteksi asites rendah, kumpulan cairan, dan penebalan omentum dan peritoneum. CT-scan lebih disukai untuk mengevaluasi peritoneum dan jeroan intraabdomen. Kasus ini menggambarkan tantangan dalam menegakkan diagnosis PTB dengan gejala klinis yang tidak khas sehingga harus dilakukan pemeriksaan secara menyeluruh. Penegakan diagnosis yang tepat sangat penting dalam pemberian terapi.
Artikel dapat diakses: https://doi.org/10.15562/bmj.v11i3.3892
Penulis
Anggoro Satrio Bimantoro
Ummi Maimunah





