Tuberkulosis (TB) adalah penyakit yang disebabkan oleh bakteri Mycobacterium tuberculosis. Tuberkulosis masih menjadi problem dalam dunia kesehatan di negara berkembang dan endemis TB seperti Indonesia. Secara umum, terdapat dua manifestasi klinis dari tuberkulosis, yaitu TB paru dan TB ekstra paru. Tuberkulosis paru merupakan bentuk infeksi yang paling sering dijumpai, sedangkan angka kejadian TB ekstra paru, termasuk pada sistem saraf pusat, diperkirakan sekitar 15% dari total kasus infeksi TB.
Manifestasi tersering dari TB pada sistem saraf pusat adalah meningitis tuberkulosis dan tuberkuloma. Tuberkuloma dapat ditemukan berdiri sendiri atau bersamaan dengan meningitis tuberkulosis. Tuberkuloma dapat ditemukan pada 4-39% kasus meningitis tuberkulosis.
Pada negara berkembang dan endemis TB, angka kejadian tuberkuloma diperkirakan mencapai 33% dari tumor intrakranial. Tuberkuloma sering dijumpai pada pasien dengan TB sistemik, populasi pediatrik, dan kondisi immunocompromised seperti AIDS, penderita diabetes, kehamilan, usia tua, dan dalam pengobatan kemoterapi. Tuberkuloma seringkali salah terdiagnosa sebagai tumor otak lainnya, dan seringkali diagnosa pasti baru dapat ditegakkan setelah pemeriksaan histopatologi dan mikrobiologi pascaoperasi.
Presentasi Kasus
Pasien anak perempuan, berusia sebelas tahun, datang dengan keluhan nyeri kepala yang semakin memberat sejak tiga tahun lalu. Pada pemeriksaan tidak didapatkan gejala TB sistemik seperti batuk lama, demam, penurunan berat badan, ataupun keringat malam hari. Pasien tidak memiliki riwayat kontak erat dengan keluarga, teman, ataupun lingkungan sekitar yang terdiagnosa TB.
Pada pemeriksaan fisik, pasien dengan GCS E4M6V5, tidak didapatkan tanda meningeal ataupun kaku kuduk. Pada pemeriksaan darah rutin dan foto toraks tidak didapatkan kelainan. Pasien memiliki riwayat operasi tumor otak (kraniofaringioma) 8 tahun lalu, dan dilakukan pemasangan ventriculoperitoneal shunt (VP Shunt) akibat hidrosefalus pascaoperasi.
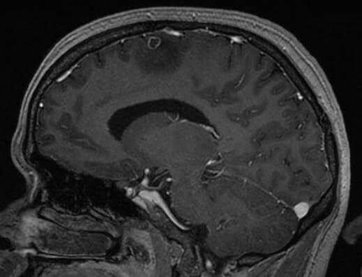
Pada pemeriksaan magnetic resonance imaging (MRI) kepala, didapatkan tumor berukuran 4×2,3×2,1 cm yang mengelilingi ventricular drain. Massa tampak isointense pada T1 dan hypointense pada T2. Massa tampak menyangat kontras secara heterogen. Pada dynamic susceptibility contrast (DSC) MRI perfusion dan MR Spectroscopy (MRS) mendukung ke arah proses keganasan. Tidak didapatkan gambaran meningoensefalitis. Dari hasil pemeriksaan MRI kepala mendukung ke arah proses metastase dari kraniofaringioma.
Pada pasien, operasi pengangkatan tumor dilakukan dengan tujuan untuk menurunkan tanda dan gejala efek massa, serta untuk mendapatkan jaringan untuk dilakukan pemeriksaan histopatologi. Pada saat prosedur operasi, didapatkan tumor yang solid dan keras yang menempel dengan erat sepanjang ventricular drain.
Dari hasil pemeriksaan histopatologi pascaoperasi, didapatkan area fibrotik luas yang berisi banyak granuloma, yang terdiri dari sel epitel dan dikelilingi oleh limfosit. Tampak pula area nekrosis yang berada di tengah dari granuloma disertai komponen kalsifikasi. Pada tepi granuloma, didapatkan sel raksasa langhans. Dari pemeriksaan histopatologi, tumor konsisten dengan tuberkuloma.
Kesimpulan
Manifestasi tuberkulosis pada sistem saraf pusat merupakan salah satu bentuk paling berbahaya dari infeksi TB. Manifestasi yang paling sering didapatkan adalah meningitis tuberkulosis dan tuberkuloma.
Tuberkuloma sering didapatkan pada pasien dengan TB sistemik, populasi pediatrik, dan kondisi immunocompromised. Pada populasi pediatrik, tuberkuloma seringkali dijumpai pada infratentorial. Namun tuberkuloma juga dapat ditemui pada regio sella, suprasellar, corpus callosum, sinus cavernous, batang otak, cerebellum, dan intraventrikel.
Pada pemeriksaan fisik dan radiologis, tuberkuloma sering memberikan gambaran yang atipikal. Pada pemeriksaan radiologis, tuberkuloma sering menyerupai gambaran tumor otak lainnya. Oleh karena tuberkuloma seringkali tidak dapat didiagnosa dari pemeriksaan fisik dan radiologis, maka diagnosa pasti baru dapat ditegakkan berdasarkan pemeriksaan histopatologi dan mikrobiologi pascaoperasi. Pemeriksaan histopatologi merupakan pemeriksaan paling akurat untuk menegakkan diagnosa tuberkuloma.
Berdasarkan opini penulis, ahli bedah saraf di negara endemis TB, harus selalu memikirkan tuberkuloma sebagai salah satu diagnosa banding dari tumor intrakranial, terutama pada pasien yang masuk dalam risiko tinggi didapatkan tuberkuloma. Jaringan atau sampel operasi harus selalu dikirim ke departemen patologi anatomi dan mikrobiologi untuk pemeriksaan menyeluruh pascaoperasi.
Penulis: Dr. Muhammad Arifin Parenrengi, dr., Sp.BS(K)
Informasi detail dari riset ini dapat dilihat pada tulisan kami di: https://doi.org/10.25259/SNI_606_2021





