Hemophagocytic lymphohistiocytosis (HLH) adalah penyakit langka yang bisa terjadi pada semua usia. Anak-anak biasanya mewarisi penyakit ini. Pada orang dewasa, infeksi dan kanker dapat menyebabkan HLH.
Ada 2 jenis HLH yaitu familial dan didapat.
Demam dan pembesaran limpa adalah gejala HLH yang paling umum.
Penyebab
HLH adalah penyakit langka dengan penyebab masih dipelajari.
HLH familial dapat disebabkan oleh mutasi pada salah satu dari beberapa gen. Mutasi gen ini merusak kemampuan tubuh untuk mengatur sistem kekebalan. Perubahan ini menghasilkan karakteristik respon imun yang berlebihan. Pada 40 sampai 60 persen kasus HLH familial disebabkan oleh mutasi pada gen PRF1 atau UNC13D.
HLH familial terdapat pada 25% kasus dan keluarga mewariskan kondisi tersebut. Jika kedua orang tua adalah pembawa genetik HLH, seorang anak memiliki kemungkinan 25% untuk menderita penyakit,
25% kemungkinan tidak memiliki penyakit, dan 50% kemungkinan menjadi pembawa. Sejumlah kondisi menyebabkan HLH didapat. Ini termasuk:
• Infeksi virus, terutama virus Epstein-Barr
• Infeksi lainnya
• Sistem kekebalan yang lemah atau sakit
• Kanker
Gejala
Pada HLH, sistem imun memproduksi terlalu banyak sel imun aktif (limfosit) yang disebut sel T, sel
natural killer, sel B, dan makrofag (histiosit). Jumlah berlebihan protein sistem kekebalan yang disebut sitokin juga diproduksi. Aktivasi sistem kekebalan yang berlebihan ini menyebabkan demam
Pada HLH, sistem kekebalan tubuh tidak bekerja secara normal. Sel darah putih tertentu – histiosit dan limfosit – menyerang sel darah yang lain. Sel-sel darah abnormal ini terkumpul di limpa dan hati sehingga organ-organ ini membesar.
Ada banyak gejala lain yang mungkin terjadi, termasuk:
• Pembesaran hati Anda
• Pembengkakan kelenjar getah bening
• Ruam kulit
• Penyakit kuning (warna kuning pada kulit dan mata Anda)
• Masalah paru-paru, termasuk batuk dan kesulitan bernapas
• Masalah pencernaan, termasuk sakit perut, muntah, dan diare
• Masalah sistem saraf, termasuk sakit kepala, kesulitan berjalan, gangguan penglihatan, dan kelemahan
Anak kecil dan bayi mungkin memiliki gejala tambahan, seperti lekas marah, gagal tumbuh dan berkembang secara normal. Tanda dan gejala HLH familial biasanya menjadi jelas selama masa bayi, meskipun kadang-kadang muncul di kemudian hari.
Diagnosis
HLH didiagnosis berdasar gejala klinis, temuan pemeriksaan fisik, dan beberapa tes laboratorium. Demam berkepanjangan adalah gejala yang umum terjadi. Pembesaran hati atau limpa (terletak di sisi
kiri atas perut) adalah temuan fisik utama.
Perlu dilakukan pemeriksaan darah untuk mencari:
• Rendahnya tingkat sel darah putih yang disebut sel pembunuh alami (sel-sel ini penting untuk sistem kekebalan tubuh yang sehat)
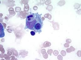
• Rendahnya tingkat sel darah merah, dan sel pembekuan yang disebut trombosit (HLH menghancurkan sel penghasil darah di sumsum tulang, suatu proses yang disebut hemofagositosis. Akibatnya, individu yang terkena memiliki jumlah sel darah merah yang rendah (anemia) dan pengurangan jumlah trombosit, yang terlibat dalam pembekuan)
• Tingginya kadar trigliserida (lemak dalam darah)
• Kadar fibrinogen yang rendah (protein yang penting untuk pembekuan)
• Tingginya kadar feritin (protein yang menyimpan zat besi)
• Tingkat tinggi zat yang disebut CD25 yang meningkat dalam darah ketika sistem kekebalan dirangsang
Tes penting lainnya, biopsi sumsum tulang dengan cara mengambil sampel sumsum tulang (pusat tulang, tempat sel darah dibuat) dan memeriksanya di bawah mikroskop.
Tes lain termasuk tes genetik dan kultur darah, yang merupakan sampel darah, untuk mencari infeksi dalam darah.
Pencegahan
Tidak ada cara untuk mencegah HLH
Pemeriksaan genetik untuk HLH bisa dilakukan pada bayi baru lahir, karena penyakit ini sangat jarang. Jika HLH didiagnosis pada saudara laki-laki atau perempuan dari bayi yang baru lahir, kemungkinan bayi baru lahir menderita penyakit tersebut adalah 25%. Para ahli merekomendasikan tes genetik untuk bayi ini.
Pengobatan
Pengobatan HLH tergantung pada penyebabnya, usia saat penyakit mulai, dan seberapa parah penyakitnya. HLH yang didapat dapat sembuh ketika penyedia layanan kesehatan mengidentifikasi penyebabnya dan mengobati penyakitnya. HLH tipe familial biasanya berakibat fatal jika tidak diobati. Tanpa pengobatan, kebanyakan orang dengan HLH tipe familial bertahan hidup hanya beberapa bulan.
Pengobatan untuk HLH mencakup:
• Kemoterapi (obat kanker)
• Imunoterapi (obat yang mempengaruhi sistem kekebalan Anda)
• Steroid (obat yang melawan peradangan)
• Obat antibiotik
• Obat antivirus
Jika terapi obat tidak berhasil, harus dilakukan transplantasi sel punca. Saat transplantasi sel punca, sel sumsum tulang yang sehat dari donor menggantikan sel sumsum tulang yang sakit. Transplantasi sel induk dapat menyembuhkan HLH dalam banyak kasus.
Referensi
Familial hemophagocytic lymphohistiocytosis.Diakses pada 3 Januari 2022 dari: http://medlineplus. gov/genetics/condition/ Familial-hemophagocytic-lymphohistiocytosis
Hemophagocytic Lymphohistiocystosis. Diakses pada 3 Januari 2022 dari: http://www.hopkinsmedicine.org/health/conditions-and-disease/ Hemophagocytic Lymphohistiocystosis
Nama: Dr. Yetti Hernaningsih dr., Sp.PK(K)
Judul dan Link:  Laboratory examination in HEMOPHAGOCYTIC LYMPHOHISTIOCYTOSIS INDONESIAN JOURNAL OF CLINICAL PATHOLOGY AND MEDICAL LABORATORY, November 2021, Vol.28 , No. 1





